News
Browse our latest news for the lowdown on what’s happening across our group of practices as well exciting updates from Linnaeus. We hope you enjoy a slice of some of the remarkable and heart-warming stories that showcase the amazing work our Associates do each and every day.
- Details
A top ophthalmology referral centre has its eyes on the prize after the launch of an eco-friendly campaign earned it a national environment award.
- Details
A 15-year-old cat has a spring in his step again after undergoing surgery at one of the top animal hospitals in the Midlands.
- Details
One of the UK’s leading veterinary groups has appointed a head vet to lead the delivery of its exceptional care and expert treatment.
- Details
A huge 60kg dog called Titch has received a massive boost after undergoing surgery to provide a lifetime cure for a debilitating lameness in his hind legs.
- Details
Four Regional Nursing Managers (RNMs) have been appointed by Linnaeus to focus on local support for primary care nurses across the veterinary group.
- Details
A world-first cardiology clinical audit which looked at the outcomes of minimally-invasive surgical procedures in dogs has been hailed a success.
- Details
Anderson Moores Veterinary Specialists has confirmed the first new case of the potentially fatal cutaneous and renal glomerular vasculopathy (CRGV) this autumn.
- Details
A walk in the woods ended in double trouble for a young labrador when she collapsed after rupturing cruciate ligaments in both her hind legs.
- Details
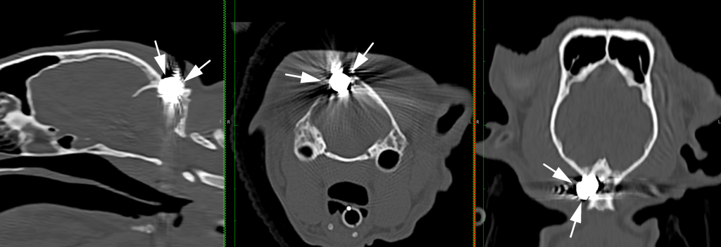
A young cat with a gunshot injury in the back of his head and depression fracture of the parietal bone successfully underwent a craniectomy at Davies Veterinary Specialists (Davies) in Hertfordshire to remove the pellet and repair the damage.
- Details
A novel new treatment at one of the UK’s elite animal hospitals has helped cure a dog who had endured four years of sporadic lameness and limping.
Page 17 of 58









