News
Browse our latest news for the lowdown on what’s happening across our group of practices as well exciting updates from Linnaeus. We hope you enjoy a slice of some of the remarkable and heart-warming stories that showcase the amazing work our Associates do each and every day.
- Details
Our Wiltshire referral centre has been recognised as a gold level cat clinic by the International Society of Feline Medicine (ISFM).
- Details
A specialist small animal referral hospital has launched a memorial tree-planting scheme to acknowledge the key part pets play in providing mental wellbeing support to families
Wear Referrals, which is part of Linnaeus, launched the initiative by planting a dawn redwood tree outside its state-of-the-art hospital in Bradbury, County Durham, in memory of pets who have passed away and in acknowledgement of the importance of pets in our lives.
- Details
An initiative to reduce environmental impact has won one of the UK’s leading animal hospitals a silver award for sustainability
- Details
Veterinary services provider Linnaeus, which is part of Mars Veterinary Health Group, has today announced that, subject to completion, Pets at Home’s Specialist Division of five veterinary referral practices is to join the Linnaeus family.
- Details
A leading London vet has highlighted a very ‘2020’ danger to pets after treating a dog who had swallowed a handful of face masks.
- Details
A seriously injured cat who suffered a horrific fracture of the pelvis when hit by a car, is back on all fours again after extensive reconstructive surgery at our leading veterinary centre in the West Midlands.
- Details
Vets at our award-winning Yorkshire animal hospital have generously donated surgical equipment and textbooks to veterinary colleagues in Africa.
- Details
A grateful dog owner has thanked specialist vets at our leading West Country animal hospital for giving her cancer-stricken pet a new lease of life.
- Details
Our West Midlands small animal hospital, Willows, has added to its expert team with the appointment of a new resident in small animal surgery.
- Details
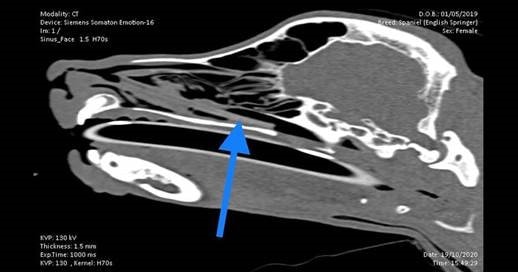
A top vet at one of our northern small animal hospitals has expressed her amazement after retrieving an 8cm stick from the nose of a young springer spaniel.
Page 53 of 58









